


A aplicação intralesional do antimonial é uma estratégia que quando bem indicada evita toxicidade e hospitalização.



A aplicação intralesional do antimonial é uma estratégia que quando bem indicada evita toxicidade e hospitalização.
Vídeo da Universidade de Utah mostra passo a passo de como o vírus invade e insere o material viral na célula da vítima
Fonte: Animação mostra como o coronavírus entra na célula humana; veja vídeo
Clinical Practice from The New England Journal of Medicine — Native-Valve Infective Endocarditis

A Flourish data visualisation by Marcelo Oliveira
Fonte: Brasil: COVID-19 Mortes diárias vs. Maiores 10 causas de morte 2018
Gráfico animado que mostra a ascensão do número de mortes por COVID em relação à outras causas de morte.




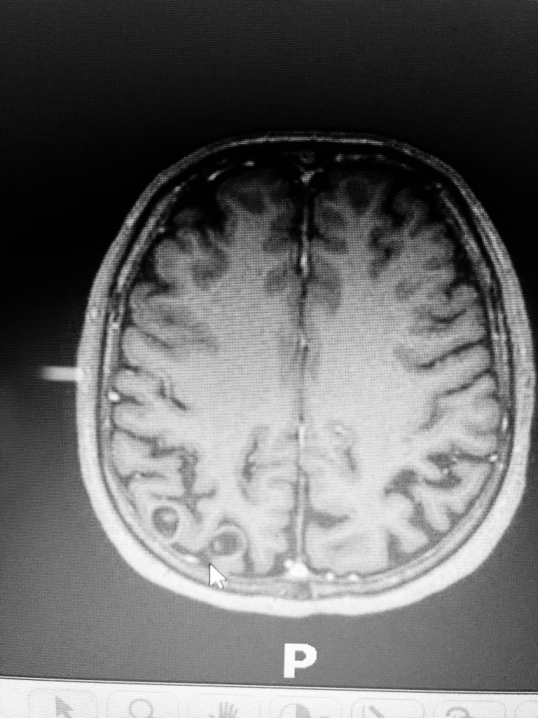
A seta mostra as lesões com escólex ( fotos 1 e 3) e o cistecerco racemoso em ventrículo (foto 2).

Tomografias e raios-X estão ajudando especialistas a diagnosticarem casos graves da doença que causam pneumonia
Fonte: Imagens mostram danos do coronavírus causador da Covid-19 nos pulmões