Enfermidade causada por uma bactéria foi diagnosticada em 11 pacientes. Desses, quatro morreram. Casos se concentram na província de Tucumán, no norte do país.
pneumonia
‘Epidemia esquecida’: pneumonia mata uma criança de até 5 anos a cada 39 segundos

O Dia Mundial da Pneumonia foi comemorado em 12 de novembro; doença é a principal causa de morte em crianças de até 5 anos de idade.
Fonte: ‘Epidemia esquecida’: pneumonia mata uma criança de até 5 anos a cada 39 segundos
Ten Pathogens Behind Most Severe Pneumonia in Children
Interventions in African and Asian countries could vastly improve outcomes for young kids
Fonte: Ten Pathogens Behind Most Severe Pneumonia in Children
Pneumonia por Staphylococcus aureus resistente à meticilina comunitário (CA-MRSA): relato de caso

Autores: Matheus Cordeiro Marchiotti; Guilherme de Almeida Costa; Ricardo Beneti; Alexandre Martins Portelinha Filho
Trabalho dos nossos residentes de infectologia do HR de Presidente Prudente, com orientação de preceptores da infectologia e pneumologia, apresentado como e-poster no 11º Congresso Paulista de Infectologia. P
Parabéns!!
Pesquisadores da USP descobrem mecanismo que desencadeia pneumonia – 30/10/2018 – UOL VivaBem
Um estudo realizado por cientistas do Centro de Pesquisa em Doenças Inflamatórias, da USP, e da Faculdade de Medicina Tropical de Liverpool, no Reino Unido, descobriu um mecanismo celular chave que controla a proliferação e o consequente transporte do pneumococo –a bactéria causadora da pneumonia– do nariz para o pulmão.
Fonte: Pesquisadores da USP descobrem mecanismo que desencadeia pneumonia – 30/10/2018 – UOL VivaBem
Procalcitonin-Guided Use of Antibiotics for Lower Respiratory Tract Infection | NEJM
Original Article from The New England Journal of Medicine — Procalcitonin-Guided Use of Antibiotics for Lower Respiratory Tract Infection
Fonte: Procalcitonin-Guided Use of Antibiotics for Lower Respiratory Tract Infection | NEJM
Predictors of pneumonia in lower respiratory tract infections: 3C prospective cough complication cohort study
The aim was to aid diagnosis of pneumonia in those presenting with lower respiratory tract symptoms in routine primary care. A cohort of 28 883 adult patients with acute cough attributed to lower respiratory tract infections (LRTIs) was recruited from 5222 UK practices in 2009–13. Symptoms, signs and treatment were recorded at presentation and subsequent events followed-up for 30 days by chart review. The predictive value of patient characteristics, presenting symptoms and clinical findings for the diagnosis of pneumonia in the first 7 days was established. Of the 720 out of 28 883 (2.5.%) radiographed within 1 week of the index consultation, 115 (16.0%; 0.40% of 28 883) were assigned a definite or probable pneumonia diagnosis. The significant independent predictors of radiograph-confirmed pneumonia were temperature >37.8°C (RR 2.6; 95% CI 1.5–4.8), crackles on auscultation (RR 1.8; 1.1–3.0), oxygen saturation 100·min–1 (RR 1.9; 1.1–3.2). Most patients with pneumonia (99/115, 86.1%) exhibited at least one of these four clinical signs; the positive predictive value of having at least one of these signs was 20.2% (95% CI 17.3–23.1). In routine practice, radiograph-confirmed pneumonia as a short-term complication of LRTI is very uncommon (one in 270). Pulse oximetry may aid the diagnosis of pneumonia in this setting. Pulse oximetry probably has a role in the diagnosis of pneumonia in the community
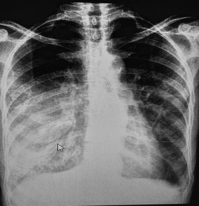
Imagem: broncograma aéreo

Faz tempo que não vejo um broncograma tão evidente. Paciente PVHA e tabagista, em abandono terapêutico.
Corticosteroids in treating community-acquired pneumonia: has the time really come? – Clinical Microbiology and Infection

Oh God! Here we go again!
Frequent Routine Dental Care Protective Against Pneumonia

Adults who visited the dentist at least twice a year were significantly less likely to be diagnosed with bacterial pneumonia than those with less frequent visits, analysis of national data showed.
Fonte: Frequent Routine Dental Care Protective Against Pneumonia



