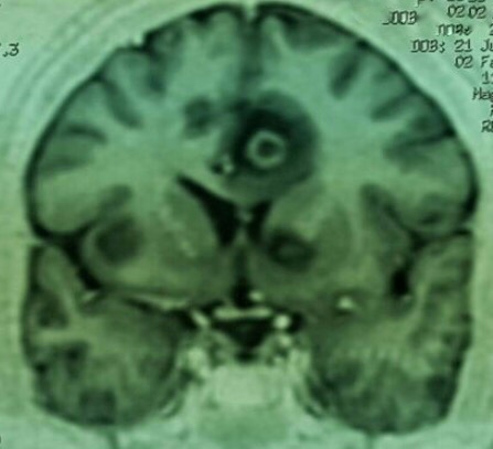
Imagem: Neurotoxoplasmose 8 de fevereiro de 20168 de fevereiro de 2016 ~ infectologia em geral Fonte: enfermaria de Infectologia HRPP Compartilhe isso: Compartilhar no X(abre em nova janela) X Compartilhar no Facebook(abre em nova janela) Facebook Envie um link por e-mail para um amigo(abre em nova janela) E-mail Imprimir(abre em nova janela) Imprimir Curtir Carregando... Relacionado