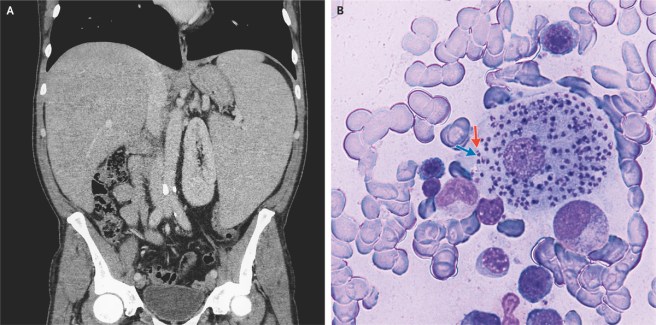
Visceral Leishmaniasis | NEJM 5 de fevereiro de 2019 ~ infectologia em geral Images in Clinical Medicine from The New England Journal of Medicine — Visceral Leishmaniasis Fonte: Visceral Leishmaniasis | NEJM Compartilhe isso: Compartilhar no X(abre em nova janela) 18+ Compartilhar no Facebook(abre em nova janela) Facebook Envie um link por e-mail para um amigo(abre em nova janela) E-mail Imprimir(abre em nova janela) Imprimir Curtir Carregando... Relacionado