blog dedicado à compartilhar conteúdo de infectologia com médicos das mais variadas especialidades e demais profissionais de saúde contribuindo com sua prática diária
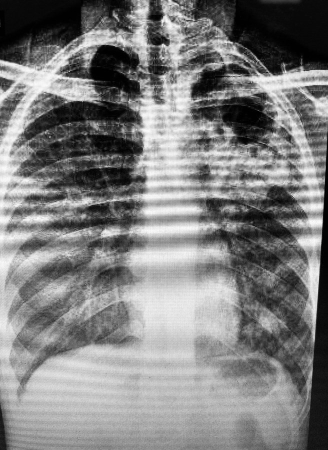
Existem radiografias compatíveis, sugestivas e até típicas, e existe essa, o protótipo da imagem de tuberculose em uma radiografia de pulmão. Cortesia do Serviço de Infectologia do Hospital Regional de Presidente Prudente.